
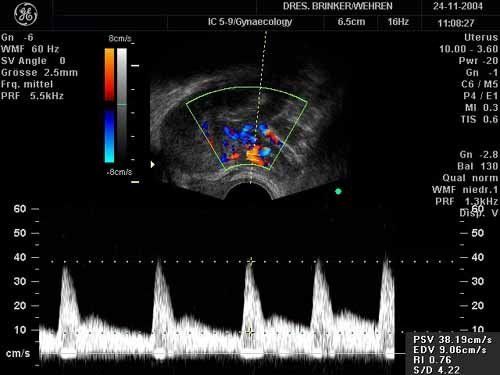
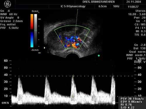
Ultraschalluntersuchung des kleinen Beckens
Bei der Krebsvorsorgeuntersuchung wird eine Tastuntersuchung der Inneren Geschlechtsorgane (Gebärmutter und Eierstöcke) vorgenommen. Weitaus mehr Informationen über Veränderungen dieser Organe erhält man durch die bildgebende Ultraschalluntersuchung mit einem Vaginalschallkopf. Dadurch können auch kleinste Tumoren, Zysten, etc. entdeckt werden, die sich dem Tastbefund entziehen - sei es, weil der Leibesumfang der Patientin diesen unsicher macht oder weil die Veränderung (z. B. eine Zyste des Eierstocks) überhaupt nicht tastbar ist. Insbesondere Zysten in den Eierstöcken können im Frühstadium kaum anders gefunden werden, eine Behandlung erfolgt dann oft später als möglich gewesen wäre. Die Eierstock-Zyste der älteren Frau ist ggf. gar das einzige Frühsymptom des Eierstock-Krebses und ihr rechtzeitiger Nachweis (lange bevor die Frau etwas spürt) dann lebensrettend ! Bei jüngeren Frauen lassen sich z.B. Erkrankungen wie Endometriose und „Perlenketten-Eierstöcke“ (PCO) erkennen, die eine Unfruchtbarkeit zur Folge haben können, ohne Beschwerden zu machen. In der Gebärmutter können Muskelknoten (Myome) erkannt werden. Durch Beurteilung der Gebärmutterschleimhaut läßt sich oft ein überschießendes Wachstum feststellen, bevor sich die Schleimhaut bösartig entwickelt.
Mit einer Untersuchung der Harnblase haben wir schon einige Blasentumore entdeckt. Bei gleichzeitigem Pressen kann das Ausmass einer Blasensenkung abgeschätzt werden, die oft für eine Harninkontinenz verantwortlich ist.
Abschliessend wird noch einmal der gesamte Unterbauch begutachtet.
Bei der Krebsvorsorgeuntersuchung wird eine Tastuntersuchung der Inneren Geschlechtsorgane (Gebärmutter und Eierstöcke) vorgenommen. Weitaus mehr Informationen über Veränderungen dieser Organe erhält man durch die bildgebende Ultraschalluntersuchung mit einem Vaginalschallkopf. Dadurch können auch kleinste Tumoren, Zysten, etc. entdeckt werden, die sich dem Tastbefund entziehen - sei es, weil der Leibesumfang der Patientin diesen unsicher macht oder weil die Veränderung (z. B. eine Zyste des Eierstocks) überhaupt nicht tastbar ist. Insbesondere Zysten in den Eierstöcken können im Frühstadium kaum anders gefunden werden, eine Behandlung erfolgt dann oft später als möglich gewesen wäre. Die Eierstock-Zyste der älteren Frau ist ggf. gar das einzige Frühsymptom des Eierstock-Krebses und ihr rechtzeitiger Nachweis (lange bevor die Frau etwas spürt) dann lebensrettend ! Bei jüngeren Frauen lassen sich z.B. Erkrankungen wie Endometriose und „Perlenketten-Eierstöcke“ (PCO) erkennen, die eine Unfruchtbarkeit zur Folge haben können, ohne Beschwerden zu machen. In der Gebärmutter können Muskelknoten (Myome) erkannt werden. Durch Beurteilung der Gebärmutterschleimhaut läßt sich oft ein überschießendes Wachstum feststellen, bevor sich die Schleimhaut bösartig entwickelt.
Mit einer Untersuchung der Harnblase haben wir schon einige Blasentumore entdeckt. Bei gleichzeitigem Pressen kann das Ausmass einer Blasensenkung abgeschätzt werden, die oft für eine Harninkontinenz verantwortlich ist.
Abschliessend wird noch einmal der gesamte Unterbauch begutachtet.
